

ABOUT ME
About Me
BDS Manchester, 2018
Your local dentist in Aberystwyth. Fluent in both Welsh and English, I have been dedicated to serving the communities I’ve lived in since graduating from the University of Manchester in 2018. My training commenced in South Manchester (Wythenshawe), where I completed my Dental Foundation Training treating NHS patients.
My love for Wales brought me back to Aberystwyth to continue the legacy of my childhood dentist. I am deeply committed to advancing my expertise and am currently enrolled in a Master's programme in Restorative Dentistry at the University of Birmingham, where I have achieved a Postgraduate Certificate.
TREATMENTS
Treatments
I'm happy to provide a wide range of treatments to help you preserve and enhance your natural teeth.


General dentistry covers a range of dental treatments focused on helping you keep your teeth and gums healthy. It's the cornerstone of dental care, making sure your smile remains in top-notch condition and works perfectly.
Regular dental check-ups are vital for spotting and preventing oral health issues early on. Addressing minor problems before they escalate saves you both time and discomfort, while also reducing the need for more extensive treatments later on.


Invisalign® is a modern orthodontic treatment that uses clear, removable aligners to straighten your teeth. It's a discreet alternative to traditional braces, allowing you to improve your smile without metal brackets and wires.
Invisalign® aligners are virtually invisible, comfortable to wear, and can be removed for eating and cleaning. This makes them a convenient option for busy lifestyles while still delivering effective results.


Restorative dentistry focuses on repairing and restoring damaged or missing teeth. From fillings to crowns and bridges, these treatments help restore both the function and appearance of your smile.
Restoring damaged teeth not only improves your ability to eat and speak properly but also prevents further dental complications. It's essential for maintaining long-term oral health and confidence in your smile.


Root canal treatment is a procedure that saves a tooth by removing infected or damaged pulp from inside the tooth. This treatment relieves pain and prevents the need for tooth extraction.
A root canal can save your natural tooth and prevent infection from spreading. It's a crucial procedure that allows you to keep your tooth while eliminating pain and restoring full function.


Enlighten Teeth Whitening is a professional whitening system that delivers guaranteed results. It's designed to brighten your smile significantly, removing stains and discoloration for a radiant look.
Enlighten is one of the most effective whitening treatments available, offering long-lasting results with minimal sensitivity. It's perfect for achieving a bright, confident smile for special occasions or everyday life.


Composite bonding is a cosmetic dental procedure that uses tooth-colored resin to repair chips, cracks, gaps, or discolouration. It's a quick and affordable way to enhance your smile's appearance.
Composite bonding provides natural-looking results in just one visit. It's minimally invasive, preserves your natural tooth structure, and can dramatically improve the aesthetics of your smile.


Porcelain veneers are thin, custom-made shells that cover the front surface of your teeth. They're designed to improve the appearance of your smile by correcting issues like discolouration, chips, or misalignment.
Veneers offer a long-lasting, natural-looking solution for smile enhancement. They're stain-resistant, durable, and can transform your smile in just a few appointments.


Facial aesthetics treatments include procedures like Botox and dermal fillers that enhance your facial features and reduce signs of aging. These treatments complement your dental care for a complete rejuvenated appearance.
Facial aesthetics can smooth wrinkles, restore volume, and create a more youthful appearance. Combined with a beautiful smile, these treatments help you look and feel your best.


General dentistry covers a range of dental treatments focused on helping you keep your teeth and gums healthy. It's the cornerstone of dental care, making sure your smile remains in top-notch condition and works perfectly.
Regular dental check-ups are vital for spotting and preventing oral health issues early on. Addressing minor problems before they escalate saves you both time and discomfort, while also reducing the need for more extensive treatments later on.
WORK PORTFOLIO
PORTFOLIO
GALLERY
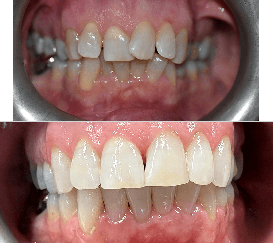
SMILE GALLERY
Have a look at the smiles I’ve created that my patients now proudly share
Reviews
Testimonials
There's nothing more amazing than patients leaving their feedback after they've been to the practice to see me.
Contact
CONTACT ME
Simply complete the form and a member of our team will getin touch to help you achieve the smile you deserve.

Call The Practice
01970 623 369Email Me
hello@drsean.dentistAddress
Friars Dental Clinic Park Avenue, Aberystwyth, SY23 1PB
All rights reserved © Dr Sean Roberts 2026
website designed and maintained by dentopia marketing